Sintomi e diagnosi dei calcoli renali
Cos'è la colica renale?
La colica renale è un dolore intenso comunemente causato da calcoli renali. Il termine "renale" si riferisce a qualsiasi disturbo correlato ai reni. Questo dolore può presentarsi improvvisamente e senza preavviso. Di solito, il dolore è localizzato su un lato del corpo e può essere avvertito nella schiena, per poi spostarsi lungo il fianco e raggiungere l'inguine. Il dolore si manifesta quando il calcolo renale si sposta dal rene lungo gli ureteri. Gli ureteri sono tubi stretti e flessibili che collegano i reni alla vescica. Il dolore è causato dalla dilatazione, dallo stiramento e dallo spasmo dell'uretere mentre il calcolo cerca di passare con l'urina. I calcoli renali possono formarsi in uno o entrambi i reni.
Quali altri sintomi potrei avere?
Di solito sono associati a nausea e vomito. • Potresti riscontrare una frequenza nella minzione. • Potresti avvertire dolore durante la minzione, noto come disuria. • Potresti anche vedere sangue nelle urine. Questo è noto come ematuria ed è causato dal calcolo che graffia l'uretere e occasionalmente urina torbida o maleodorante. • Una temperatura elevata di 38 °C o 100 °F o superiore indica un'infezione associata e questo può portare a una condizione grave chiamata sepsi (infezione che si diffonde al sangue). In tal caso, dovrai recarti immediatamente in ospedale per le cure.
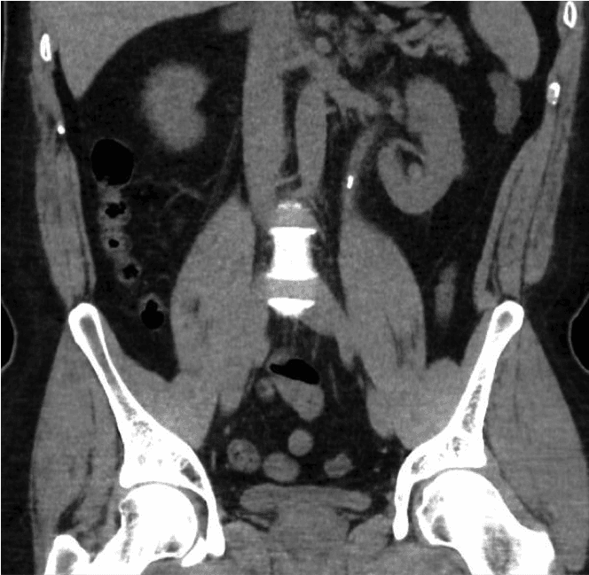
Quali esami vengono eseguiti per diagnosticare i calcoli renali?
Inizialmente verrà eseguito un test con stick urinario per verificare la presenza di sangue nelle urine ed escludere un'infezione urinaria. Vengono eseguiti esami del sangue per la funzionalità renale e la calcemia. Il test diagnostico definitivo per i calcoli è una TAC semplice dell'addome (TC Rene Uretere Vescica o TC KUB). Questa scansione mostrerà le dimensioni e la posizione dei calcoli, aiutando a pianificare il trattamento.
Se sei una donna in età fertile, è importante informare il medico o l'infermiere se c'è la possibilità che tu sia incinta. In caso di dubbio, potremmo dover eseguire un test di gravidanza. Questo è importante per evitare qualsiasi esposizione involontaria alle radiazioni del bambino nell'utero durante l'ecografia. Se sei incinta, potresti aver bisogno di un'ecografia o risonanza magnetica
per la diagnosi.

Quale trattamento riceverò?
Gli antidolorifici (non steroidei o FANS) rappresentano il trattamento di prima linea. Possono includere compresse come ibuprofene o diclofenac, somministrate in compresse o supposte. Se il dolore non è controllato, si possono somministrare antidolorifici più forti come la morfina per via iniettiva.
I calcoli nell'uretere hanno maggiori probabilità di essere espulsi se sono piccoli. Ad esempio, i calcoli di dimensioni inferiori a 5 mm nella parte inferiore dell'uretere hanno oltre il 90% di probabilità di essere espulsi con l'urina senza alcun trattamento.
I calcoli che non passano dopo 4 settimane e quelli che causano dolore persistente potrebbero richiedere un trattamento attivo da parte di uno dei due Litotrissia ad onde d'urto
O Ureteroscopia
(Operazione telescopica con laser per rompere e rimuovere il calcolo).
Se hai un calcolo molto grande (oltre 2 cm) nell'uretere superiore o all'interno del rene, potrebbe essere necessario PCNL
(Intervento chirurgico laparoscopico per rimuovere il calcolo)
Cosa posso fare mentre aspetto il trattamento?
- BEVI MOLTA ACQUA. Dovresti bere almeno 2 litri d'acqua al giorno per favorire l'espulsione dei calcoli e cercare di prevenire la formazione di altri calcoli. Puoi capire se stai bevendo abbastanza acqua dal colore dell'urina. L'urina dovrebbe essere di un giallo molto pallido o incolore. Se l'urina è di colore giallo scuro, significa che non stai bevendo abbastanza e sei disidratato.
- ASSUMERE ANALGESICI REGOLARMENTE. Vi verrà prescritto un farmaco da assumere a casa. Assumetelo regolarmente, come indicato dal medico.
- CAMBIAMENTO DIETA. Anche il consumo di determinati alimenti ricchi di proteine, calcio e ossalati può contribuire alla formazione di calcoli renali. Ridurre questi alimenti nella dieta può aiutare a migliorare i sintomi nel tempo. Consultare la sezione
Foglio di consigli dietetici per i calcoli renali.
Cosa devo fare se i miei sintomi peggiorano?
Se si manifesta uno qualsiasi dei seguenti sintomi, contattare l'urologo, il medico di base o il pronto soccorso locale.
➢ Dolore molto forte nella parte bassa della schiena non controllato dagli antidolorifici
➢ Febbre
➢ Temperatura superiore a 38°C o 100°F
➢ Tremante
➢ Nausea e vomito
➢ Diarrea
