Symptômes et diagnostic des calculs rénaux
Qu'est-ce que la colique néphrétique ?
La colique néphrétique est une douleur intense généralement causée par des calculs rénaux. Le terme « rénal » désigne tout ce qui touche aux reins. Cette douleur peut apparaître soudainement et sans prévenir. Généralement unilatérale, elle est ressentie dans le dos et peut se propager latéralement jusqu'à l'aine. La douleur survient lorsque le calcul se déplace du rein vers les uretères. Les uretères sont des conduits étroits et flexibles qui relient les reins à la vessie. La douleur est causée par la dilatation, l'étirement et le spasme de l'uretère lorsque le calcul tente d'être évacué dans l'urine. Les calculs rénaux peuvent se former dans un seul rein ou dans les deux.
Quels autres symptômes puis-je avoir ?
Des nausées et des vomissements sont généralement associés. • Vous pouvez uriner plus fréquemment. • Vous pouvez ressentir une douleur à la miction, appelée dysurie. • Du sang peut également être présent dans les urines. On parle alors d'hématurie, causée par le frottement du calcul sur l'uretère et parfois par une urine trouble ou malodorante. • Une température élevée de 38 °C ou plus indique une infection associée, pouvant entraîner une septicémie (infection se propageant au sang). Dans ce cas, vous devrez vous rendre immédiatement à l'hôpital pour y être soigné.
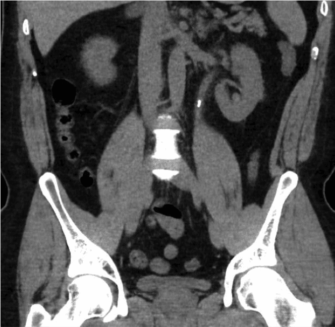
Quels tests sont effectués pour diagnostiquer les calculs rénaux ?
Dans un premier temps, une bandelette urinaire sera réalisée pour vérifier la présence de sang dans les urines et exclure une infection urinaire. Des analyses sanguines seront réalisées pour évaluer la fonction rénale et la calcification. L'examen diagnostique définitif pour les calculs est un scanner abdominal simple (TDM rein-uretère-vessie ou TDM KUB). Ce scanner permettra de déterminer la taille et la localisation des calculs, ce qui facilitera la planification du traitement.
Si vous êtes une femme en âge de procréer, il est important d'informer le médecin ou l'infirmière de toute possibilité de grossesse. En cas de doute, un test de grossesse peut être nécessaire. Ceci est important pour éviter toute exposition accidentelle du bébé à des radiations pendant l'examen. Si vous êtes enceinte, une échographie ou un examen de grossesse pourrait être nécessaire. IRM
pour le diagnostic.

Quel traitement vais-je recevoir ?
Les analgésiques (non stéroïdiens ou AINS) constituent le traitement de première intention. Ils peuvent inclure des comprimés comme l'ibuprofène ou le diclofénac, administrés sous forme de comprimés ou de suppositoires. Si la douleur n'est pas contrôlée, des analgésiques plus puissants comme la morphine peuvent être administrés par injection.
Les calculs urétéraux sont généralement éliminés s'ils sont petits. Par exemple, des calculs de moins de 5 mm situés dans la partie inférieure de l'uretère ont plus de 90 % de chances d'être éliminés dans les urines sans traitement.
Les calculs qui ne disparaissent pas après 4 semaines et les calculs qui provoquent des douleurs persistantes peuvent nécessiter un traitement actif, soit Lithotripsie par ondes de choc
ou Urétéroscopie
(Opération télescopique avec laser pour casser et retirer la pierre).
Si vous avez un très gros calcul (plus de 2 cm) dans l'uretère supérieur ou dans le rein, vous devrez peut-être PCNL
(Chirurgie par trou de serrure pour retirer la pierre)
Que puis-je faire en attendant le traitement ?
- BUVEZ BEAUCOUP D'EAU. Il est conseillé de boire au moins 2 litres d'eau par jour pour faciliter l'élimination du calcul et prévenir la formation d'autres calculs. La couleur de vos urines indique si vous buvez suffisamment d'eau. Elles doivent être jaune très pâle ou incolores. Si elles sont jaune foncé, cela signifie que vous ne buvez pas suffisamment et que vous êtes déshydraté.
- PRENEZ RÉGULIÈREMENT DES ANALGÉSIQUES. Des médicaments vous seront prescrits et vous pourrez les emporter chez vous. Veuillez les prendre régulièrement, comme prescrit par votre médecin.
- MODIFICATION DE VOTRE ALIMENTATION. La consommation de certains aliments riches en protéines, en calcium et en oxalates peut également contribuer à la formation de calculs rénaux. Réduire raisonnablement leur consommation dans votre alimentation peut contribuer à améliorer vos symptômes à long terme. Veuillez consulter le
Fiche de conseils diététiques pour les calculs rénaux.
Que dois-je faire si mes symptômes s’aggravent ?
Si vous développez l’un des symptômes suivants, veuillez contacter votre urologue, votre médecin généraliste ou le service local des urgences.
➢ Douleur très intense dans le bas du dos non contrôlée par des analgésiques
➢ Fièvre
➢ Température supérieure à 38 °C ou 100 °F
➢ Frissons
➢ Nausées et vomissements
➢ Diarrhée
