腎結石的症狀和診斷
什麼是腎絞痛?
腎絞痛是一種劇烈疼痛,通常由腎結石引起。 「腎」一詞泛指任何與腎臟相關的疼痛。這種疼痛可能突然出現,沒有任何徵兆。疼痛通常發生在身體一側,疼痛可波及背部,並可蔓延至身體一側和腹股溝。當腎結石從腎臟沿著輸尿管移動時,就會產生疼痛。輸尿管是連接腎臟和膀胱的狹窄而靈活的管道。疼痛是由輸尿管在結石試圖經由尿液排出時擴張、拉伸和痙攣引起的。腎結石可能發生在一側或兩側腎臟。
我可能還有哪些症狀?
通常伴隨噁心和嘔吐。 • 您可能會感到頻尿。 • 排尿時可能會感到疼痛,即排尿困難。 • 尿液中也可能出現血液。這被稱為血尿,是由結石刮傷輸尿管引起的,偶爾還會出現尿液渾濁或有異味。 • 38攝氏度或100華氏度或更高的高溫表示有相關感染,這可能導致一種稱為敗血症(感染擴散至血液)的嚴重疾病。如果發生這種情況,您必須立即去醫院就診。
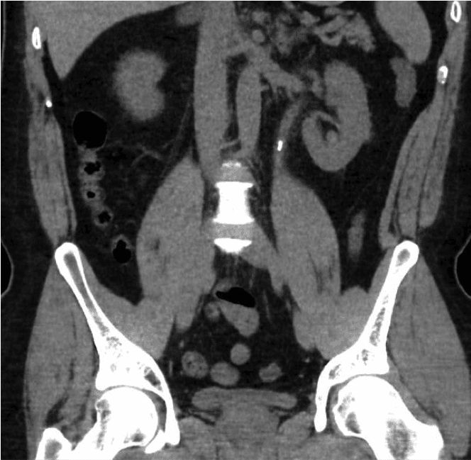
進行哪些檢查來診斷腎結石?
首先會進行尿液試紙檢查,檢查尿液中是否有帶血,並排除泌尿道感染。之後也會進行腎功能和血鈣檢測。結石的最終診斷方法是腹部普通CT掃描(腎臟輸尿管膀胱區CT掃描,簡稱CT KUB)。此掃描可以顯示結石的大小和位置,有助於制定治療方案。
如果您是育齡女性,請務必告知醫師或護理師您是否可能懷孕。如有疑問,我們可能需要進行妊娠測試。這很重要,可以避免在掃描過程中意外輻射到子宮內的胎兒。如果您已懷孕,您可能需要進行超音波掃描或 核磁共振掃描
進行診斷。

我將接受什麼治療?
止痛藥(非類固醇類或 NSAID)是首選治療方法。這類藥物可能包括布洛芬或雙氯芬酸等錠劑,以錠劑或栓劑形式給藥。如果疼痛無法控制,可以注射嗎啡等藥效較強的止痛藥。
輸尿管結石如果體積較小,則很容易排出。例如,輸尿管下段直徑小於5毫米的結石,無需任何治療,90%以上的幾率會隨尿液排出。
4 週後仍未排出的結石以及引起持續疼痛的結石可能需要透過以下方式進行積極治療 震波碎石術
或者 輸尿管鏡檢查
(用雷射進行伸縮操作,打碎並取出石頭)。
如果您在輸尿管上段或腎臟內有一塊非常大的結石(超過 2 公分),您可能需要 經皮腎鏡取石術
(透過微創手術取出結石)
等待治療期間我可以做些什麼?
- 多喝水。每天至少應喝2公升水,以幫助結石排出,並盡量防止其他結石形成。您可以透過尿液的顏色來判斷您是否喝了足夠的水。尿液應該是淡黃色或無色液體。如果您的尿液呈現深黃色,表示您喝水不足,並且脫水。
- 定期服用止痛藥。我們會為您開藥回家。請依照醫師的指示定期服用。
- 改變飲食。食用某些富含蛋白質、鈣和草酸鹽的食物也可能導致腎結石。合理減少這些食物的攝取量,可能有助於逐漸改善您的症狀。請參閱
飲食建議表 治療腎結石。
如果我的症狀惡化,我該怎麼辦?
如果您有以下任何症狀,請聯絡您的泌尿科醫師或全科醫生或當地急診。
➢ 下背部疼痛非常劇烈,無法透過止痛藥控制
➢ 發燒
➢ 體溫高於 38C 或 100F
➢ 發抖
➢ 噁心和嘔吐
➢ 腹瀉
