गुर्दे की पथरी के लक्षण और निदान
गुर्दे का दर्द क्या है?
रीनल कोलिक एक गंभीर दर्द है जो आमतौर पर गुर्दे की पथरी के कारण होता है। "रीनल" शब्द गुर्दे से संबंधित किसी भी बीमारी को दर्शाता है। यह दर्द अचानक और बिना किसी चेतावनी के हो सकता है। आमतौर पर शरीर के एक तरफ पीठ में दर्द महसूस हो सकता है और यह आपके बगल से होते हुए कमर तक फैल सकता है। यह दर्द तब होता है जब गुर्दे की पथरी गुर्दे से मूत्रवाहिनी के साथ आगे बढ़ती है। मूत्रवाहिनी संकरी, लचीली नलिकाएँ होती हैं जो आपके गुर्दे को आपके मूत्राशय से जोड़ती हैं। यह दर्द मूत्रवाहिनी के फैलाव, खिंचाव और ऐंठन के कारण होता है क्योंकि पथरी मूत्र के साथ बाहर निकलने की कोशिश करती है। गुर्दे की पथरी एक या दोनों गुर्दों में हो सकती है।
मुझे और क्या लक्षण हो सकते हैं?
आमतौर पर मतली और उल्टी भी होती है। • आपको बार-बार पेशाब आने का अनुभव हो सकता है। • पेशाब करते समय दर्द हो सकता है जिसे डिस्यूरिया कहते हैं। • पेशाब में खून भी दिखाई दे सकता है। इसे हेमट्यूरिया कहते हैं और यह पथरी के मूत्रवाहिनी में खरोंच लगने और कभी-कभी बादल या बदबूदार पेशाब के कारण होता है। • 38°C या 100°F या उससे ज़्यादा तापमान संबंधित संक्रमण का संकेत देता है और इससे सेप्सिस (रक्त में संक्रमण का फैलना) नामक एक गंभीर स्थिति हो सकती है। अगर ऐसा होता है, तो आपको इलाज के लिए तुरंत अस्पताल जाना होगा।
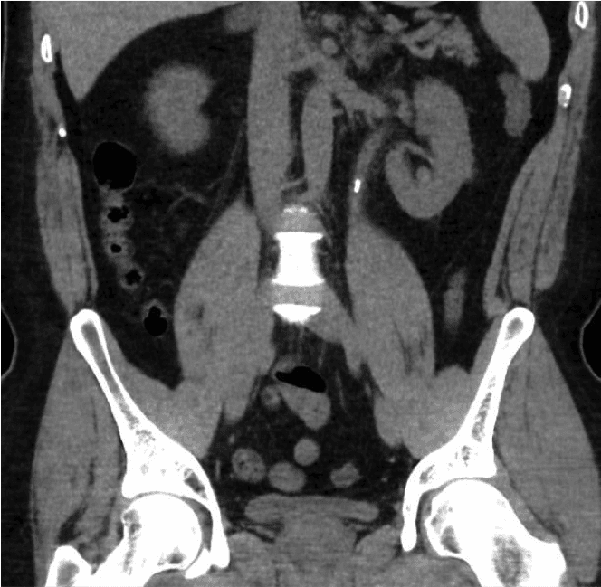
गुर्दे की पथरी का निदान करने के लिए कौन से परीक्षण किए जाते हैं?
शुरुआत में पेशाब में खून की जाँच और मूत्र संक्रमण की संभावना का पता लगाने के लिए यूरिन डिपस्टिक टेस्ट किया जाएगा। गुर्दे की कार्यप्रणाली और कैल्शियम की जाँच के लिए रक्त परीक्षण भी किए जाएँगे। पथरी का निश्चित निदान पेट का सामान्य सीटी स्कैन (सीटी किडनी यूरेटर ब्लैडर एरिया या सीटी केयूबी) है। इससे पथरी का आकार और स्थिति का पता चलेगा जिससे उपचार की योजना बनाने में मदद मिलेगी।
यदि आप गर्भधारण करने की आयु की महिला हैं, तो यह ज़रूरी है कि आप डॉक्टर या नर्स को बताएँ कि क्या आपके गर्भवती होने की कोई संभावना है। यदि संदेह हो, तो हमें गर्भावस्था परीक्षण करवाना पड़ सकता है। स्कैन के दौरान गर्भ में पल रहे शिशु को किसी भी तरह के अनजाने विकिरण के संपर्क में आने से बचाने के लिए यह ज़रूरी है। यदि आप गर्भवती हैं, तो आपको अल्ट्रासाउंड स्कैन या एमआरआई स्कैन
निदान के लिए.

मुझे क्या उपचार मिलेगा?
दर्द निवारक (नॉन-स्टेरॉयडल या NSAID) उपचार का पहला चरण है। इसमें आइबुप्रोफेन या डाइक्लोफेनाक जैसी गोलियाँ या सपोसिटरी शामिल हो सकती हैं। अगर दर्द नियंत्रित न हो, तो मॉर्फिन जैसी तेज़ दर्द निवारक दवाएँ इंजेक्शन के रूप में दी जा सकती हैं।
मूत्रवाहिनी में मौजूद पथरी अगर छोटी हो, तो उसके निकल जाने की संभावना ज़्यादा होती है। उदाहरण के लिए, मूत्रवाहिनी के निचले हिस्से में 5 मिमी से छोटी पथरी के बिना किसी इलाज के मूत्र के माध्यम से निकल जाने की संभावना 90% से ज़्यादा होती है।
जो पथरी 4 सप्ताह के बाद भी नहीं निकलती और जो पथरी लगातार दर्द का कारण बनती है, उन्हें सक्रिय उपचार की आवश्यकता हो सकती है शॉकवेव लिथोट्रिप्सी
या यूरेटेरोस्कोपी
(पत्थर को तोड़ने और निकालने के लिए लेजर के साथ दूरबीन ऑपरेशन)।
यदि आपके ऊपरी मूत्रवाहिनी में या गुर्दे के भीतर बहुत बड़ा पत्थर (2 सेमी से अधिक) है, तो आपको इसकी आवश्यकता हो सकती है पीसीएनएल
(पथरी निकालने के लिए कीहोल सर्जरी)
उपचार की प्रतीक्षा करते समय मैं क्या कर सकता हूँ?
- खूब पानी पिएँ। पथरी को निकालने और अन्य पथरियों को बनने से रोकने के लिए आपको रोज़ाना कम से कम 2 लीटर पानी पीना चाहिए। आप अपने पेशाब के रंग से पता लगा सकते हैं कि आप पर्याप्त पानी पी रहे हैं या नहीं। पेशाब का रंग हल्का पीला या रंगहीन होना चाहिए। अगर आपका पेशाब गहरे पीले रंग का है, तो इसका मतलब है कि आप पर्याप्त पानी नहीं पी रहे हैं और निर्जलित हैं।
- नियमित रूप से दर्द निवारक दवाएँ लें। आपको घर ले जाने के लिए दवाएँ दी जाएँगी। कृपया डॉक्टर के निर्देशानुसार नियमित रूप से दवाएँ लें।
- आहार में बदलाव। प्रोटीन, कैल्शियम और ऑक्सालेट से भरपूर कुछ खाद्य पदार्थ खाने से भी गुर्दे की पथरी हो सकती है। अपने आहार में इन चीज़ों को कम करने से समय के साथ आपके लक्षणों में सुधार हो सकता है। कृपया देखें।
आहार संबंधी सलाह पत्रक गुर्दे की पथरी के लिए.
यदि मेरे लक्षण बदतर हो जाएं तो मुझे क्या करना चाहिए?
यदि आपको निम्नलिखित में से कोई भी लक्षण दिखाई दे तो कृपया अपने मूत्र रोग विशेषज्ञ या GP या स्थानीय दुर्घटना एवं आपातकालीन विभाग से संपर्क करें।
➢ आपकी पीठ के निचले हिस्से में बहुत तेज दर्द जो दर्द निवारक दवाओं से नियंत्रित नहीं होता
➢ बुखार
➢ तापमान 38C या 100F से ऊपर
➢ कंपकंपी
➢ मतली और उल्टी
➢ दस्त
