Síntomas y diagnóstico de los cálculos renales
What is renal colic?
Renal colic is a severe pain that is commonly caused by kidney stones. The word “renal” refers to anything related to the kidneys. This pain can present suddenly and without warning. Usually on one side of the body the pain can be felt in the back and can move around your side and into your groin. The pain occurs as the kidney stone moves from the kidney and along the ureters. Ureters are narrow, flexible tubes that join your kidneys to your bladder. The pain is caused by the dilation, stretching and spasm of the ureter as the stone tries to pass in the urine. Kidney stones may occur in one or both kidneys.
¿Qué otros síntomas puedo tener?
Suele haber náuseas y vómitos asociados. • Puede experimentar mayor frecuencia urinaria. • Puede experimentar dolor al orinar, conocido como disuria. • También puede observarse sangre en la orina. Esto se conoce como hematuria y se debe a que el cálculo roza el uréter y, en ocasiones, a una orina turbia o con mal olor. • Una temperatura alta de 38 °C o 100 °F o superior indica una infección asociada, lo que puede provocar una afección grave llamada sepsis (infección que se propaga a la sangre). Si esto ocurre, deberá acudir al hospital de inmediato para recibir tratamiento.
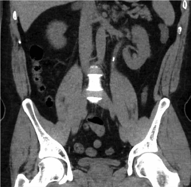
¿Qué pruebas se realizan para diagnosticar los cálculos renales?
Inicialmente, se realizará una prueba de orina con tira reactiva para detectar sangre y descartar una infección urinaria. Se realizan análisis de sangre para evaluar la función renal y el calcio. La prueba diagnóstica definitiva para cálculos es una tomografía computarizada simple del abdomen (TC del área del riñón, uréter y vejiga o TC KUB). Esta tomografía mostrará el tamaño y la posición de los cálculos, lo que ayudará a planificar el tratamiento.
Si es mujer en edad fértil, es importante que informe al médico o a la enfermera si existe la posibilidad de embarazo. En caso de duda, podríamos necesitar una prueba de embarazo. Esto es importante para evitar la exposición accidental a la radiación del bebé en el útero durante la ecografía. Si está embarazada, podría necesitar una ecografía o resonancia magnética
para el diagnóstico.

¿Qué tratamiento recibiré?
Los analgésicos (no esteroides o AINE) son el tratamiento de primera línea. Estos pueden incluir comprimidos como ibuprofeno o diclofenaco, administrados en tabletas o supositorios. Si el dolor no se controla, se pueden administrar analgésicos más fuertes, como la morfina, en forma de inyección.
Los cálculos en el uréter son propensos a expulsarse si son pequeños. Por ejemplo, los cálculos de menos de 5 mm en la parte inferior del uréter tienen más del 90 % de probabilidades de expulsarse en la orina sin tratamiento.
Los cálculos que no desaparecen después de 4 semanas y los cálculos que causan dolor persistente pueden necesitar un tratamiento activo ya sea por: Litotricia por ondas de choque
o Ureteroscopia
(Operación telescópica con láser para romper y retirar la piedra).
Si usted tuvo un cálculo muy grande (más de 2 cm) en el uréter superior o dentro del riñón, es posible que necesite PCNL
(Cirugía de ojo de cerradura para extraer el cálculo)
¿Qué puedo hacer mientras espero el tratamiento?
- BEBA ABUNDANTE AGUA. Debe beber al menos 2 litros de agua al día para facilitar la expulsión del cálculo y prevenir la formación de otros. Puede saber si está bebiendo suficiente agua por el color de su orina. La orina debe ser de color amarillo muy pálido o incolora. Si su orina es de color amarillo oscuro, significa que no está bebiendo suficiente agua y está deshidratado.
- TOME ANALGÉSICO REGULARMENTE. Se le recetará un medicamento para que lo lleve a casa. Tómelo con la regularidad indicada por el médico.
- CAMBIO EN LA DIETA. Comer ciertos alimentos ricos en proteínas, calcio y oxalatos también puede contribuir a la formación de cálculos renales. Reducir estos alimentos sensibles en su dieta puede ayudar a mejorar sus síntomas con el tiempo. Consulte la
Hoja de consejos dietéticos para cálculos renales.
What shall I do if my symptoms become worse?
If you develop any of the following symptoms please contact your Urologist or GP or Local Accident and Emergency Department.
➢ Very severe pain in the lower side of your back
not controlled by painkillers
➢ Fever
➢ Temperature above 38C or 100F
➢ Shivering
➢ Nausea and Vomiting
➢ Diarrhoea
