Cálculos renales: síntomas y tratamiento
Somos especialistas regionales en el tratamiento de cálculos renales y ofrecemos una amplia gama de opciones, incluyendo ondas de choque, láser y cirugía mínimamente invasiva. Somos los únicos urólogos privados que ofrecen cirugía telescópica, mínimamente invasiva y abierta para cálculos renales en un mismo lugar.
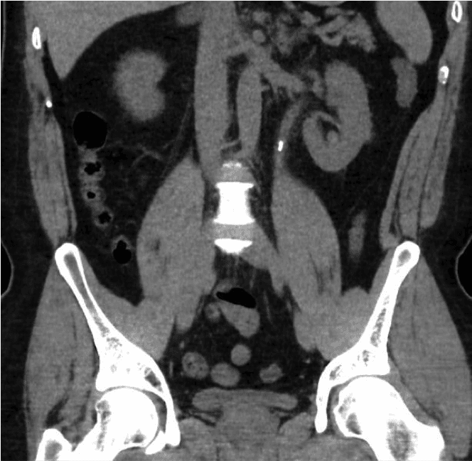
La litiasis renal es una de las enfermedades más comunes en la era moderna. Su prevalencia varía considerablemente según la ubicación geográfica, oscilando entre el 8 % y el 19 % en hombres y entre el 3 % y el 5 % en mujeres en países occidentales [1,2]. El número de hospitalizaciones por litiasis renal en el Reino Unido aumentó un 63 %, alcanzando las 83 050, entre 2000 y 2010 [3]. La creciente prevalencia de la litiasis renal supone una importante carga económica y clínica para nuestro sistema sanitario.Los cálculos renales pueden aparecer incidentalmente en una exploración realizada por otros motivos o presentarse con síntomas como dolor, infección urinaria o hematuria (sangre en la orina).
Encontrará información de los síntomas de los cálculos renales, cómo se realiza el diagnóstico y las opciones de tratamiento haciendo clic en los siguientes enlaces.También hay un folleto de información dietética con consejos para la prevención de cálculos.
Referencias:
1. Stamatelou KK, Francis ME, Jones CA, Nyberg LM, Curhan GC. Tendencias temporales en la prevalencia reportada de cálculos renales en Estados Unidos: 1976-1994. Kidney Int 2003; 63: 1817-23 2
2. Hesse A, Br€andle E, Wilbert D, K€ohrmann KU, Alken P. Estudio sobre la prevalencia e incidencia de la urolitiasis en Alemania comparando los años 1979 frente a 2000. Eur Urol 2003; 44: 709–13 3
3. Turney BW, Reynard JM, Noble JG, Keoghane SR. Tendencias en la litiasis urológica. BJU Int 2012; 109: 1082–7






