腎結石:症狀與治療
我們是區域性腎結石治療專家,提供全面的治療方案,包括衝擊波治療、雷射治療和鎖孔手術。我們是唯一在同一診所提供鏡下結石手術、鎖孔手術和開放式結石手術的私人泌尿科醫生。
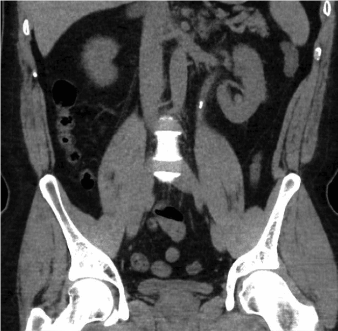
腎結石是現代最常見的疾病之一。其發生率在不同地區差異大,西方國家的男性發生率為8%至19%,女性為3%至5% [1,2]。 2000年至2010年,英國因腎結石入院治療的人數增加了63%,達到83,050人次 [3]。腎結石盛行率的不斷上升給我們的醫療保健系統帶來了沉重的經濟和臨床負擔。腎結石可能在因其他原因進行的掃描中偶然出現,或出現疼痛、泌尿道感染或血尿(尿液中帶血)等症狀。
點擊以下鏈接,您將找到有關腎結石的症狀、診斷方法和治療方案的資訊。還有一份飲食資訊手冊,其中也提供了預防結石的建議。
參考:
1. Stamatelou KK, Francis ME, Jones CA, Nyberg LM, Curhan GC. 美國腎結石盛行率隨時間變化趨勢:1976–1994. Kidney Int 2003; 63: 1817–23 2
2.Hesse A, Brândle E, Wilbert D, Kâohrmann KU, Alken P. 1979年與2000年德國泌尿系統結石盛行率及發生率比較研究. Eur Urol 2003; 44: 709–13 3
3.Turney BW, Reynard JM, Noble JG, Keoghane SR.泌尿系統結石疾病的趨勢。 BJU Int 2012; 109: 1082–7






