Calcoli renali: sintomi e trattamento
Siamo specialisti regionali nel trattamento dei calcoli renali e offriamo una gamma completa di opzioni terapeutiche, tra cui il trattamento con onde d'urto, il trattamento laser e la chirurgia laparoscopica. Siamo gli unici urologi privati a offrire, sotto lo stesso tetto, interventi di chirurgia telescopica, laparoscopica e a cielo aperto per la cura dei calcoli.
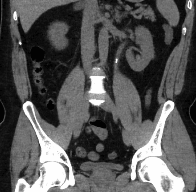
La calcolosi renale è una delle patologie più diffuse dell'era moderna. La prevalenza varia notevolmente tra le diverse aree geografiche, oscillando tra l'8% e il 19% negli uomini e tra il 3% e il 5% nelle donne nei paesi occidentali [1,2]. Il numero di ricoveri ospedalieri dovuti a calcoli renali nel Regno Unito è aumentato del 63%, raggiungendo quota 83.050, dal 2000 al 2010 [3]. La crescente prevalenza della calcolosi renale rappresenta un notevole onere economico e clinico per il nostro sistema sanitario.I calcoli renali possono presentarsi incidentalmente durante una scansione eseguita per altri motivi o manifestarsi con sintomi quali dolore, infezione delle urine o ematuria (sangue nelle urine).
Cliccando sui seguenti link troverete informazioni sui sintomi dei calcoli renali, su come viene effettuata la diagnosi e sulle opzioni di trattamento.È disponibile anche un opuscolo informativo sulla dieta con consigli per la prevenzione dei calcoli.
Riferimenti:
1. Stamatelou KK, Francis ME, Jones CA, Nyberg LM, Curhan GC. Andamento temporale della prevalenza segnalata di calcoli renali negli Stati Uniti: 1976–1994. Kidney Int 2003; 63: 1817–23 2
2.Hesse A, Br€andle E, Wilbert D, K€ohrmann KU, Alken P. Studio sulla prevalenza e l'incidenza dell'urolitiasi in Germania confrontando gli anni 1979 e 2000. Eur Urol 2003; 44: 709–13 3
3. Turney BW, Reynard JM, Noble JG, Keoghane SR. Tendenze nella calcolosi urologica. BJU Int 2012; 109: 1082–7






