சிறுநீரக கற்களின் அறிகுறிகள் மற்றும் நோயறிதல்
சிறுநீரக பெருங்குடல் என்றால் என்ன?
சிறுநீரகக் கோலிக் என்பது பொதுவாக சிறுநீரகக் கற்களால் ஏற்படும் ஒரு கடுமையான வலியாகும். "சிறுநீரகம்" என்ற சொல் சிறுநீரகங்களுடன் தொடர்புடைய எதையும் குறிக்கிறது. இந்த வலி திடீரெனவும் எச்சரிக்கை இல்லாமல் ஏற்படலாம். பொதுவாக உடலின் ஒரு பக்கத்தில் வலி பின்புறத்தில் உணரப்படலாம், மேலும் உங்கள் பக்கவாட்டிலும் உங்கள் இடுப்புப் பகுதியிலும் நகரலாம். சிறுநீரகக் கல் சிறுநீரகத்திலிருந்து சிறுநீர்க்குழாய்கள் வழியாக நகரும்போது வலி ஏற்படுகிறது. சிறுநீர்க்குழாய்கள் உங்கள் சிறுநீரகத்தை உங்கள் சிறுநீர்ப்பையுடன் இணைக்கும் குறுகிய, நெகிழ்வான குழாய்கள் ஆகும். கல் சிறுநீரில் செல்ல முயற்சிக்கும்போது சிறுநீர்க்குழாய் விரிவடைதல், நீட்சி மற்றும் பிடிப்பு ஆகியவற்றால் வலி ஏற்படுகிறது. சிறுநீரகக் கற்கள் ஒன்று அல்லது இரண்டு சிறுநீரகங்களிலும் ஏற்படலாம்.
எனக்கு வேறு என்ன அறிகுறிகள் இருக்கலாம்?
பொதுவாக குமட்டல் மற்றும் வாந்தியுடன் தொடர்புடையது. • நீங்கள் சிறுநீர் கழிக்கும் நேரங்களின் எண்ணிக்கையில் அடிக்கடி உணரப்படலாம். • சிறுநீர் கழிக்கும் போது வலி ஏற்படலாம், இது டைசுரியா என்று அழைக்கப்படுகிறது. • சிறுநீரில் இரத்தமும் காணப்படலாம். இது ஹெமாட்டூரியா என்று அழைக்கப்படுகிறது, மேலும் இது சிறுநீர்க்குழாயில் கல் சொறிவதால் ஏற்படுகிறது மற்றும் எப்போதாவது மேகமூட்டமாக அல்லது துர்நாற்றம் வீசும் சிறுநீரால் ஏற்படுகிறது. • 38C அல்லது 100F அல்லது அதற்கு மேற்பட்ட அதிக வெப்பநிலை தொடர்புடைய தொற்றுநோயைக் குறிக்கிறது, மேலும் இது செப்சிஸ் (தொற்று இரத்தத்தில் பரவுகிறது) எனப்படும் கடுமையான நிலைக்கு வழிவகுக்கும். இது நடந்தால், சிகிச்சைக்காக உடனடியாக மருத்துவமனைக்குச் செல்ல வேண்டும்.
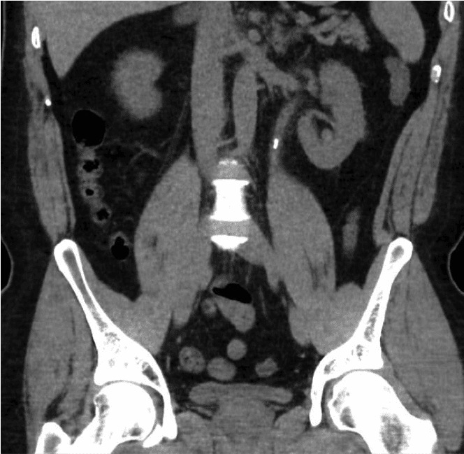
சிறுநீரக கற்களைக் கண்டறிய என்ன சோதனைகள் செய்யப்படுகின்றன?
ஆரம்பத்தில் சிறுநீரில் இரத்தம் இருக்கிறதா என்று சோதிக்கவும், சிறுநீர் தொற்று இல்லை என்பதை நிரூபிக்கவும் சிறுநீர் டிப்ஸ்டிக் சோதனை செய்யப்படும். சிறுநீரக செயல்பாடு மற்றும் கால்சியத்திற்கான இரத்த பரிசோதனைகள் செய்யப்படுகின்றன. கல்லைக் கண்டறியும் உறுதியான சோதனை வயிற்றின் ஒரு சாதாரண CT ஸ்கேன் (CT சிறுநீரக சிறுநீர்ப்பை பகுதி அல்லது CT KUB) ஆகும். இது கற்களின் அளவு மற்றும் நிலையைக் காண்பிக்கும், இது சிகிச்சையைத் திட்டமிட உதவும்.
நீங்கள் குழந்தை பெறும் வயதுடைய பெண்ணாக இருந்தால், நீங்கள் கர்ப்பமாக இருப்பதற்கான சாத்தியக்கூறுகள் ஏதேனும் உள்ளதா என்பதை மருத்துவர் அல்லது செவிலியரிடம் தெரிவிப்பது முக்கியம். சந்தேகம் இருந்தால், கர்ப்ப பரிசோதனை செய்ய வேண்டியிருக்கலாம். ஸ்கேன் செய்யும் போது கருப்பையில் உள்ள குழந்தைக்கு தற்செயலான கதிர்வீச்சு வெளிப்பாட்டைத் தவிர்ப்பது முக்கியம். நீங்கள் கர்ப்பமாக இருந்தால், உங்களுக்கு அல்ட்ராசவுண்ட் ஸ்கேன் தேவைப்படலாம் அல்லது எம்ஆர்ஐ ஸ்கேன்
நோயறிதலுக்காக.

எனக்கு என்ன சிகிச்சை கிடைக்கும்?
வலி நிவாரணிகள் (ஸ்டீராய்டு அல்லாத அல்லது NSAID) சிகிச்சையின் முதல் வரிசையாகும். இதில் இப்யூபுரூஃபன் அல்லது டைக்ளோஃபெனாக் போன்ற மாத்திரைகள் மாத்திரைகள் அல்லது சப்போசிட்டரிகளாகக் கொடுக்கப்படலாம். வலி கட்டுப்படுத்தப்படாவிட்டால், மார்பின் போன்ற வலுவான வலி நிவாரணிகள் ஊசியாகக் கொடுக்கப்படலாம்.
சிறுநீர்க்குழாயில் உள்ள கற்கள் சிறியதாக இருந்தால் வெளியேற வாய்ப்புள்ளது. உதாரணமாக, சிறுநீர்க்குழாயின் கீழ் பகுதியில் 5 மிமீக்கும் குறைவான கற்கள் எந்த சிகிச்சையும் இல்லாமல் சிறுநீரில் வெளியேற 90% க்கும் அதிகமான வாய்ப்பு உள்ளது.
4 வாரங்களுக்குப் பிறகும் நீங்காத கற்கள் மற்றும் தொடர்ந்து வலியை ஏற்படுத்தும் கற்களுக்கு, இரண்டில் ஏதேனும் ஒன்றின் மூலம் தீவிர சிகிச்சை தேவைப்படலாம். ஷாக்வேவ் லித்தோட்ரிப்சி
அல்லது சிறுநீர்ப்பை ஆய்வு
(கல்லை உடைத்து அகற்ற லேசர் மூலம் தொலைநோக்கி அறுவை சிகிச்சை).
மேல் சிறுநீர்க்குழாய் அல்லது சிறுநீரகத்திற்குள் மிகப் பெரிய கல் (2 செ.மீ.க்கு மேல்) இருந்தால், உங்களுக்கு இது தேவைப்படலாம் பிசிஎன்எல்
(கல்லை அகற்ற சாவித்துளை அறுவை சிகிச்சை)
சிகிச்சைக்காக காத்திருக்கும்போது நான் என்ன செய்ய முடியும்?
- நிறைய தண்ணீர் குடிக்கவும். கல் வெளியேறவும், மற்ற கற்கள் உருவாகாமல் தடுக்கவும் தினமும் குறைந்தது 2 லிட்டர் தண்ணீர் குடிக்க வேண்டும். உங்கள் சிறுநீரின் நிறத்தை வைத்தே நீங்கள் போதுமான அளவு தண்ணீர் குடிக்கிறீர்களா என்பதை அறியலாம். சிறுநீர் மிகவும் வெளிர் மஞ்சள் அல்லது நிறமற்ற திரவமாக இருக்க வேண்டும். உங்கள் சிறுநீர் அடர் மஞ்சள் நிறத்தில் இருந்தால், நீங்கள் போதுமான அளவு குடிக்கவில்லை என்றும் நீரிழப்புடன் இருப்பதாகவும் அர்த்தம்.
- வழக்கமான வலி நிவாரணி எடுத்துக் கொள்ளுங்கள். வீட்டிற்கு எடுத்துச் செல்ல உங்களுக்கு மருந்துகள் பரிந்துரைக்கப்படும். மருத்துவர் பரிந்துரைத்தபடி இதை தவறாமல் எடுத்துக் கொள்ளுங்கள்.
- உணவில் மாற்றம். புரதம், கால்சியம் மற்றும் ஆக்சலேட்டுகள் அதிகம் உள்ள சில உணவுகளை சாப்பிடுவதும் சிறுநீரக கற்களுக்கு பங்களிக்கக்கூடும். உங்கள் உணவில் இந்த நுணுக்கங்களைக் குறைப்பது காலப்போக்கில் உங்கள் அறிகுறிகளை மேம்படுத்த உதவும். தயவுசெய்து பார்க்கவும்
உணவுமுறை ஆலோசனைத் தாள் சிறுநீரக கற்களுக்கு.
எனது அறிகுறிகள் மோசமாகிவிட்டால் நான் என்ன செய்வது?
பின்வரும் அறிகுறிகளில் ஏதேனும் ஒன்றை நீங்கள் உருவாக்கினால், தயவுசெய்து உங்கள் சிறுநீரக மருத்துவர் அல்லது பொது மருத்துவரை அல்லது உள்ளூர் விபத்து மற்றும் அவசர சிகிச்சைப் பிரிவைத் தொடர்பு கொள்ளவும்.
➢ வலி நிவாரணிகளால் கட்டுப்படுத்தப்படாத உங்கள் முதுகின் கீழ்ப் பகுதியில் மிகக் கடுமையான வலி.
➢ காய்ச்சல்
➢ 38C அல்லது 100F க்கு மேல் வெப்பநிலை
➢ நடுக்கம்
➢ குமட்டல் மற்றும் வாந்தி
➢ வயிற்றுப்போக்கு
